Welcome To Veterinary Dentistry Training
About Veterinary Dentistry Training
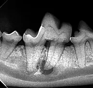
Dental care is essential to an animal’s overall health. Knowing how to properly identify and treat oral disease is crucial in the well-being of your patients. The American Veterinary Dental Society has reported that the majority of cats and dogs have periodontal health issues by the age of three. Many oral problems are not visible above the gum-line and can be overlooked without the right education. Untreated or misdiagnosed dental problems are the source of chronic pain and infection.
A well-trained team not only provides patients with top-quality dental care but will also increase staff efficiency, client satisfaction, as well as clinic revenue. Veterinary Dentistry Training offers a variety of engaging lectures and labs that will help receptionists, technicians, and veterinarians understand dentistry in an easy to follow approach.
Classes can be held in the convenience of your own clinic, in group meetings, or online.
Class Options:
Improve the quality and efficiency of your dental program through step-by-step instruction.
Meet Jennifer Hertzoff, CVT
Jennifer Hertzoff, CVT worked in general practice for 22 years before starting her career at Arizona Veterinary Dental Specialists in 2004. She had the rare opportunity to work closely with 5 boarded dentists and also a boarded anesthesiologist.
Jennifer combines her years of experience along with her passion for teaching to help improve the dentistry skills of your entire staff.
Master Class Bundle
The Master Class Bundle is an all-inclusive training package designed for veterinary professionals who are eager to master advanced dental techniques. This comprehensive bundle offers a blend of On-Demand learning modules and live Zoom coaching sessions, allowing participants to progress at their own pace while still benefiting from personalized, real-time instruction.
